O que Fazemos

Prótese Protocolo

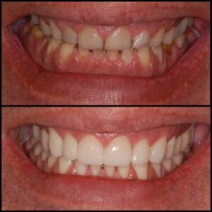
A prótese protocolo representa a reconstrução completa do seu sorriso através de engenharia biomédica de precisão. Implantes de titânio são estrategicamente posicionados e integrados ao osso, criando a fundação para uma arcada dentária fixa e permanente. O resultado transcende funcionalidade—é a restauração da sua confiança, da sua capacidade de sorrir sem restrições e de viver plenamente. Cada prótese é personalizada para harmonizar com suas características faciais únicas, garantindo um resultado natural e imperceptível.

Os melhores resultados são aqueles que ninguém percebe—apenas você sente a diferença.

Implantes Dentários

Os implantes dentários da Clínica ODG não são apenas substitutos—são a recriação da natureza através da ciência. Cada implante é posicionado com precisão cirúrgica, integrando-se biologicamente ao osso ao longo de meses. Após a osseointegração, coroas personalizadas completam a transformação. Mais do que restaurar dentes, restauramos sua liberdade: de mastigar sem hesitar, de sorrir sem esconder, de viver sem limitações. É odontologia que devolve não apenas função, mas dignidade. O impossível é apenas um desafio técnico aguardando a solução certa.

Prótese Parcial Removível (PPR)

A prótese parcial removível é a elegância da praticidade. Confeccionada com estrutura metálica de precisão e acabamento artesanal, ela preenche espaços, restaura função e devolve estética de forma imediata e acessível. É discreta, confortável e perfeitamente encaixada aos seus dentes naturais. Para quem busca uma solução eficaz sem permanência cirúrgica, a PPR oferece o equilíbrio perfeito entre forma, função e conveniência.

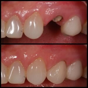
Coroa em Porcelana sobre Implante

Cada coroa sobre implante na Clínica ODG é esculpida digitalmente através da tecnologia 3D com a fresadora —o equivalente odontológico à alta costura. Escaneamento 3D captura cada detalhe. Software avançado projeta a anatomia perfeita. A fresadora esculpe porcelana de alta resistência com precisão de micrômetros. O resultado é uma obra de arte funcional, integrando-se ao seu sorriso como se sempre estivesse ali.

Coroa em Porcelana sobre Dente Natural

Na Clínica ODG, transformação não exige espera. Com a tecnologia CEREC e a fresadora PrimeMill da Sirona, sua coroa cerâmica é projetada, esculpida e instalada em uma única visita. Sem moldes desconfortáveis. Sem semanas de espera. Apenas precisão digital, artesanato computadorizado e um novo dente que parece ter nascido ali. É odontologia moderna no seu melhor: rápida, confortável e extraordinariamente bela.

Velocidade não compromete perfeição—apenas elimina a espera por ela.

 

Transforme Seu Sorriso Hoje!

Quem Somos

A ODG – Oliveira Dental Group representa um novo padrão de cuidado odontológico em Aracaju, onde a ciência da saúde e a arte de um sorriso se encontram. Dedicamo-nos a um público que aprecia a excelência e a discrição, oferecendo uma experiência que transcende o tratamento convencional.
Através da odontologia digital de vanguarda, incluindo o escaneamento 3D, cada tratamento é concebido de forma única, como uma peça sob medida. Seja na criação de porcelanas ou em procedimentos de implantodontia, nossa abordagem é marcada pela precisão e por uma estética refinada.
Nosso ethos é fundamentado na integridade e na busca genuína pela saúde bucal. Acreditamos em um aconselhamento honesto, construindo uma relação de confiança mútua e um legado de bem-estar. Não realizamos procedimentos; esculpimos saúde, confiança e a expressão mais autêntica de cada indivíduo.
Missão:
Elevar a experiência odontológica em Aracaju, combinando arte, ciência e um cuidado genuinamente personalizado para criar sorrisos que refletem a saúde, a confiança e a individualidade de cada paciente.
Valores:
•Qualidade Inquestionável: Um compromisso com os mais altos padrões em cada detalhe, desde o diagnóstico à execução técnica.
•Integridade Absoluta: O bem-estar do paciente é nossa bússola. Oferecemos um aconselhamento honesto, focado na saúde real, sempre.
•Cuidado Sob Medida: Cada paciente é único; cada tratamento é uma obra co-criada para atender a desejos e necessidades específicas.
•Vanguarda Tecnológica: Empregamos tecnologia de ponta não como um fim, mas como um meio para alcançar precisão, conforto e resultados superiores.
•Discrição e Legado: Construímos relações de confiança, com discrição e o objetivo de cuidar do seu sorriso por toda a vida.

Graduada em Odontologia pela Universidade Federal de Sergipe (1984), com Mestrado em Odontologia pela Escola Bahiana de Medicina e Saúde Pública (2008). Possui ampla experiência em Clínica Odontológica, atuando principalmente nas áreas de dentística restauradora, estética, clareamento dental, hipersensibilidade dentária e prevenção.

Dra. Yvana Maria
CRO-SE: 461

Graduado em Odontologia pela Universidade Federal de Sergipe (2005), possui especialização em Prótese Dentária pela FUNBEO-USP (2007). Participou do Programa de Prática Profissionalizante da Faculdade de Odontologia de Bauru – Universidade de São Paulo, onde também concluiu o curso de Reabilitação Oral em nível de Mestrado (2009). É Doutor em Ciências da Saúde pela Universidade Federal de Sergipe (2013).

Dr. José Luiz
CRO-SE: 1480

Graduada em Odontologia pela Universidade Federal de Sergipe (2014), com especialização em Implantodontia (2017). É Mestra em Odontologia pela Universidade Federal de Sergipe (2020).

Dedica-se à implantodontia e reabilitação oral, com ênfase em tratamentos personalizados que aliam tecnologia, estética e bem-estar.

Dra. Ana Claudia
CRO-SE 2441

Sua Saúde Começa Aqui.

Odontologia Completa em Aracaju

Rua Terêncio Sampaio, 91 – Jardins – CEP: 49025-093

Reponsável Técnico – José Luiz Goes de Oliveira

CNPJ. 40.033.846/0001-42

copyright © 2025 | Made in Aracaju

Feito por Studio Search